Paradontoza, o boală care se tratează (P)

Se numeste parodontitis o imbolnavire prin inflamare a parodontiului dentar (tesuturilor inconjuratoare dintelui, atat gingie cat si os), ducand la deteriorarea aparatului de sustinere dento-alveolar, aparitia mobilitatii si in final, pierderea dintilor.
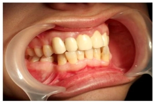
Parodontoza nu este o imbolnavire a dintilor! Cel mai adesea,acestia sunt sanatosi. Statisticile arata ca imbolnavirea aparatului de sustinere a dintilor cauzeaza mai multe pierderi ale acestora decat cariile. Cum apare parodontoza? Cauzele aparitiei aceastei imbolnaviri sunt numeroase si diverse. Sunt incriminati diversi factori precum cei genetici,endocrini,psihologici,factori de mediu,boli profesionale,obiceiuri vicioase,stil alimentar si de viata nesanatos (drept pentru care a fost supranumita si "boala civilizatiei"),cel mai important factor ramanand totusi acumularile de detritusuri la baza dintelui,denumite placa si tartru,elemente care pe langa iritatia mecanica cronica pe care o exercita,constituie medii optime de cultura bacteriana. Substantele nocive rezultate in urma metabolismului bacterian provoaca inflamatia,care este practic primul stadiu al parodontozei. Cum se recunoaste gingivita sau paradontoza?O gingie sanatoasa are o culoare roz,bine atasata de dinti iar papila (zona de gingie dintre dinti) este integra si nu sangereaza la periere (imaginea 1). O gingie bolnava este inrosita si umflata sau palida si retrasa,sangereaza usor si la baza dintelui se pot observa adeseori depunerile de tartru (imaginea 2). Aceasta este etapa preliminara catre parodontoza si poarta numele de gingivita. In timp,incep sa se deterioreze tesuturile de sustinere ale dintilor. Apar pungile gingivale. Astfel detritusurile pot sa se infiltreze sub marginea gingivala neputand fi oprite si inaccesibile periajului dentar.Schimbarile pricinuite de varietatea bacteriilor care se dezvolta in pungile gingivale duc la accentuarea inflamatiei si aparitia secretiilot purulente. Printr-un atac dur asupra parodontiului,dintii isi pierd stabilitatea,devin mobili si hipersensivi,datorita de fapt pierderii osului care sustine dinteleCiteste aici despre profilaxia parodontozei si despre ce sfaturi ne dau specialiştii clinicii Asclepimed impotriva parodontozei
































