Aşa scapi de tartru şi redai albul dinţilor tăi!

Igiena dentară este esenţială pentru sănătatea dinţilor şi nu numai. Pe lângă carii şi alte neplăceri legate de dinţi, cum sunt infecţiile, tartrul îşi face şi el loc pe lista cu probleme de rezolvat la dentist. Dar acesta poate fi îndepărtat şi acasă, prin metode uşor de pus în practică.
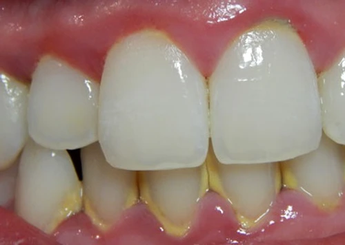
Strat dur,depus pe dinţi,cu tentă gălbuie,tartrul afectează suprafaţa dinţilor,provoacă o respiraţie urât mirositoare şi,în timp,duce la apariţia gingivitelor.
Din păcate,tartrul slăbeşte şi rezistenţa dintelui. Până ajungi să tratezi problema lastomatolog,pune în plicare câteva trucuri care pot să redea albul dinţilor tăi!
Tartrul este format din bacterii care se depun pe limbă şi dinţi şi care au consistenţa,dimineaţă,la trezire,a ceva lipicios. Periază corect dinţii,cel puţin două minute la periaj,şi nu lăsa substanţa lipicioasă să se întărească.
Problema de sănătate apare când gingiile încep să se înroşească,iar asta este o reacţie a organsimul care vede tartrulca pe un intrus.
În acest caz periajul nu este de ajuns. Este ca şi cum ai încerca să îndepărtezi gheaţa de pe parbriz,spune Dr. Oz,într-una din emisiunile sale,care mai face o declaraţie suprinzătoare,bazată pe studii ştiinţifice:oamenii nu îşi periază dinţii mai mult de 38 de secunde.
Bicarbonatul de sodiu ajută
Un vechi remediu în combaterea plăcii bacteriene este cel pe bază de bicarbonat de sodiu. După periaj cu pastă obişnuită,presară praf de bicarbonat pe perie şi curăţă în profunzime dinţii. Poţi adăuga şi sare de bucătărie,ca să obţii şi un efect de albire.
Poţi să-ţi faci singură pasta de dinţi,dacă nu vrei să mai foloseşti produse din comerţ,care au substanţe chimice necunoscute şi cu reacţii adverse.
Pentru preparare,ai nevoie de două linguri de bicarbonat,pe care le amesteci cu 100 de g unt de cocos,o linguriţă praf de stevia (îndulcitor natural) şi picături de ulei esenţial de mentă,de portocale,de orice vrei tu,ca să dai aromă pastei de dinţi. O poţi păstra într-un borcănel opac,la temperatură pe cât posibil joasă.
Seminţe de susan,inimii tartrului
Mestecă o lingură de seminţe,apoi pune-le pe o periuţă uscată şi periază aşa cum procedezi şi cu pasta de dinţi.
Când le-ai mestecat,seminţele au curătat bacteriile şi au albit uşor dinţii,iar când le-ai folosit la periat,acestea au îndepărtat placa bacteriană şi au descompus tartrul. Foloseşte la final aţa dentară ca să îndepărtezi orice urmă de resturi alimentare,care pot produce tartru.
































