Ghid de viață 💫
Lifestyle 📻
Dezvoltare personală 📈
Dragoste și sex ❤️
DIGITAL PDF
Horoscop ✰
Recente 🆕
Termeni și condiții
Viață de vedetă
Pagina 330
Viaţa la Hollywood... după moarte
Psoriazis tratament. Cum învingi boala care îţi urâţeşte pielea
Spune stop cearcănelor!
Ernest şi Simona Pătruleasa au aflat de ce „În zbor barba nu creşte”
Paula Seling - interpretare inedită la malul mării!
Shakira ia o scurtă pauză în carieră. Află de ce!
5 cuvinte-cheie pentru noul an şcolar
Dan Bittman: «Rămân în tabăra burlacilor!»
Robbie Williams este proaspăt tătic
Horia Brenciu: «Fiica mea sper să aibă puţin din vocea mea»
Iată ce alimente te fac mai frumoasă!
3 mituri despre tenul tău
Memorii de pe băncile şcolii
Lavanda are grijă de tenul tău
Programul meu de întinerire în 7 paşi
Lucruri pe care nu ar trebui să le faci niciodată
Călătoare pe acoperişul lumii
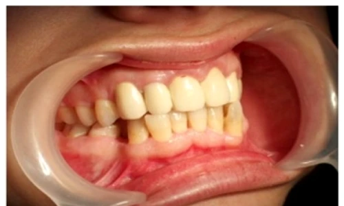
Paradontoza, o boală care se tratează (P)
Meniu pentru o piele frumoasă
Masca din morcovi redă strălucirea tenului
Tratament naturist pentru regenerarea părului
«Familia noastră este unită şi fericită!»
Rareş Dragomir se relansează cu single-ul „Spune-mi adio!”
Produse de înfrumuseţare pentru un chip tânăr
Arganul, uleiul minune!
Beneficiile rozmarinului. 5 motive să consumi nepreţuitul condiment
Ce tabieturi are Leonard Cohen înaintea concertelor sale
3 sfaturi pentru o piele fină ca mătasea
Colecţionarii de ciudăţenii de la Hollywood
Kim Kardashian şi Kanye West se gândesc deja la căsătorie
← Pagina 329
Pagina 331 →